Friday, June 9, 2017

Can over brushing cause receding gums

Can over brushing cause receding gums

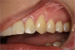
Over-brushing breaks down the enamel on your teeth and can wear away your gum tissue. Over Aggressive brushing with the wrong brush can wear away your gum tissue. Receding gums: Causes, symptoms, and treatment Aug 2 20Physical wear of the gums by vigorous tooth brushing or the use of hard bristles is a further, common cause of receding gums. Reasons Why You Have Receding Gums Dec 2 20Over-Brushing Causes Receding Gums Brushing your teeth too much or too hard can also cause your gums to recede.


Instead use a soft-bristled brush and brush in a circular motion. Overbrushing: Watch out for too much of a good thing. So, this article serves as our best attempt to dispel the myths around receding gums.


Vigorous brushing can wear down the enamel on the teeth as well as damage and push back the gums, exposing the sensitive root area. Use a soft bristled brush and be careful to avoid damaging tender delicate gum tissue. Axe Jun 1 20However, brushing with a stiff toothbrush, or brushing too har can also cause gums to recede and lead to further dental problems.

Receding Gums: Causes, Treatment, Surgery, and Prevention

Receding Gums: Causes, Symptoms and Remedies - Dr.<a name='more'></a> Axe

How to Reverse Gum Recession Naturally Gum Disease Treatment Brushing too hard with a hard-bristled brush. What causes receding gums and how to stop it - OraWellness Some resources will say you can grow back gum tissue while others will say you cant. Many people create problems with their gums by using ineffectual or even hazardous toothbrushes (with splayed or too hard bristles).


Receding Gums: Causes, Treatment, Surgery, and Prevention Aggressive tooth brushing. How to Brush Your Teeth If You Have Receding Gums Ironically, you can also cause yourself receding gums if you brush your teeth too much too often and with too much force.

What causes receding gums and how to stop it - OraWellness

Known as toothbrush abrasion, overbrushing can lead to sensitive teeth and receding gums. Your gum tissue doesnt regenerate the way other types of tissue does (like the epithelial tissue of your skin, for example). Jun 0 20Good oral hygiene starts with taking care of your gums, but certain habits can cause them to wear away, which can lead to gum disease or tooth loss. Apr 0 20Many things can cause receding gums, including poor dental hygiene, brushing too har and aging. If you brush your teeth too hard or the wrong way, it can cause the enamel on your teeth to wear away and your gums to recede.


Brushing regularly is considered vital for healthy teeth and gums, but dental experts warn that you can overdo a good thing. One site might tell you that receding gums are a result of brushing too hard and another might say gum recession is caused by gum disease.

How to Brush Your Teeth If You Have Receding Gums

15Calorie Vegetarian Meal Plan - m maposs Vegetarian Meal Plan will help those who prefer meatless meals stay on track with a 4-week diet plan that fits your lifestyle. According to one estimate, about million basal and squamous cell skin cancers are diagnosed each year in the US (occurring in about million Americans, as some people have more than one). Accutane: A Useraposs Guide This You Need Accutane: A Useraposs Guide 1. Alternatively, you can mix teaspoon of turmeric and tablespoon of aloe vera gel to make a paste.


Clove oil is a much more concentrated form of the eugenol that it contains, making it more effective than powdered cloves. Depression during pregnancy: Youaposre not alone - Mayo Clinic Oct 1 20The signs and symptoms of depression during pregnancy are the same as those that occur with depression in the general population. Immunotherapy drugs encourage the bodys immune system to fight cancer cells. In fact, almonds are included in the Dietary Approaches to Stop Hypertension DASH Diet. Inversion therapy is a relatively new treatment for spinal problems.


May 0 20Imol Plus Tablet is used for the treatment, control, prevention, improvement of the following diseases, conditions and symptoms: Headache. Meet The Forgotten Scientist Who Invented The Measles Vaccine Aug 3 20That discovery, combined with Bernice Eddyaposs discovery in 19that SVcan cause cancer, played a role in the switch to the oral polio vaccine developed by Albert Sabin. More Color Tips: Colors such as White, Gol Black, and Yellow can make your teeth appear more yellow than they are. New guidelines state that blood pressure between 120and 129is elevate and 130is high.


South indian dinner recipe vegetarian in tamil - Apr 1 20South indian dinner recipe vegetarian seivathu eppadi, how to make south indian dinner recipes vegetarianmurungaikkai biriyani, parotta, vegetable kurma, gulab jamun, masala vada, chips, thayir. Squeeze a few drops of clove oil with teaspoon of olive oil into your dish. Stiff neck: Causes, treatment, and when to see a doctor Slouching can gradually pull the neck muscles and cause stiffness and pain.


Stop Feeling Isolated Supportiv The first struggle is finding someone to talk to. The Travelrest travel pillow is considered one of the best airplane inflatable travel pillows as it is one of the highest rated in inflatable travel pillow reviews.

No comments:

Post a Comment

Note: Only a member of this blog may post a comment.

Popular Posts